Incubateur d‘idées
🧬 À la croisée du laboratoire et des idées, des articles pour repenser la technostructure contemporaine à l’ère de la génomique et des technologies du vivant.
Laboratoire de la pensée
🚀 Dans l’anthroposphère façonnée par Sapiens, l’écriture scientifique fait le récit de nos métamorphoses : propageons là.
Agora scientifique
🔬 Ce site décrypte les avancées technologiques et scientifiques, car elles sont le miroir de notre époque : découverte fondamentale et interrogation philosophique se rejoignent.
Anthropocène – Partie I : l’Origine

L’humanité est-elle entrée dans une nouvelle époque géologique façonnée par ses propres réalisations ? Le concept d’Anthropocène propose précisément[…]
Un monde périlleux pour les spermatozoïdes

Quel est le sens biologique des frontières qui séparent les pays, de la délimitation des territoires adjacents, des lignes[…]
Les immortalistes et Ming la Palourde

Les immortalistes ont-ils découvert pour Sapiens le daf-2 du nématode ? Le petit ver transparent devance notre espèce :[…]
Un cerveau ciselé par les flammes

Avec la maîtrise du feu, l’humanité a acquis le pouvoir de transformer profondément et rapidement son environnement : armée[…]
Frontières, rivalité, territorialité

Quel est le sens biologique des frontières qui séparent les pays, de la délimitation des territoires adjacents, des lignes[…]
Biotope de synthèse et dépendance technologique

La main permit à l’encéphale du primate à lunette de façonner en profondeur son environnement ; par la même[…]
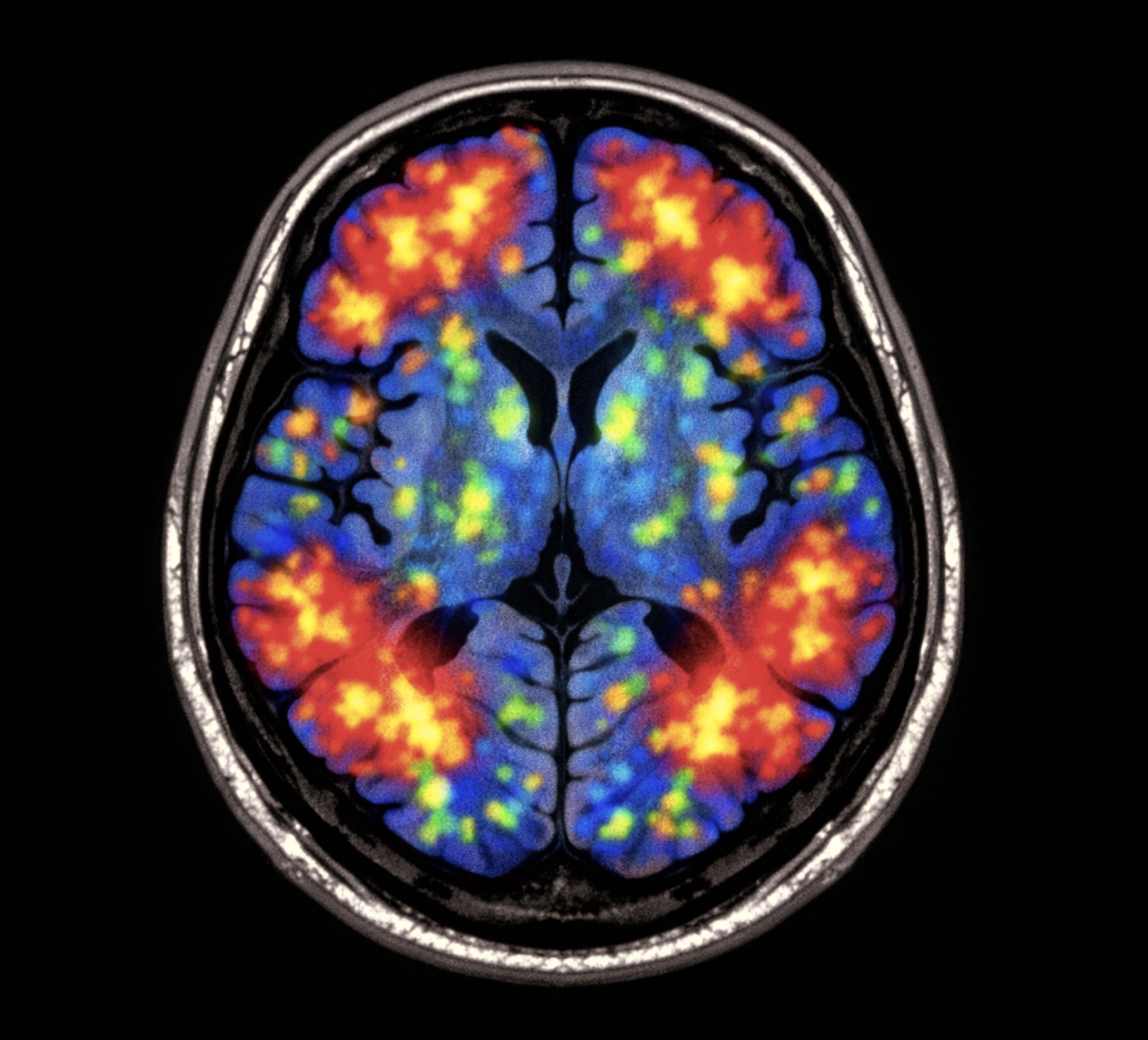
Un feu d’artifice de 700 000 synapses par seconde

Un autre facteur pourrait avoir participé au mécanisme de l’altricialité qui caractérise notre espèce : c’est notamment Holly Dunsworth,[…]
Abiogénèse et paradoxe du jeune soleil

Examinons l’histoire de l’atmosphère terrestre : il est possible de la diviser en trois périodes. Dans sa première forme,[…]
Un primate averti en vaut au moins deux

Nous perpétuons, par l’exercice cérébral, la mécanique réplicative qui nous a placés sur Terre : les représentations graphiques, les[…]
Quoi de neuf dans
Nature Genetics

